
GynaeXcellence
- Erweiterte Gesundheitsleistung
- …
- Erweiterte Gesundheitsleistung
GynaeXcellence
- Erweiterte Gesundheitsleistung
- …
- Erweiterte Gesundheitsleistung
Wie verstehen wir Endometriose?
Endometriose ist schwierig zu verstehen. Aufgrund zahlreicher Ausprägungen und Symptome gibt es verschiedene Auffassungen darüber, was diese Erkrankung ausmacht. Wir verstehen die Endometriose als Spektrum-Erkrankung. In diesem Abschnitt versuchen wir, unser Verständnis ein wenig darzustellen.
Überblick
Drei wesentliche Formen
Symptome
Diagnose
Behandlung
Wichtige Fragen
Weiterführende Literatur
In diesen drei Beiträgen, welche in der Zeitschrift "Der Luzerner Arzt" erschienen sind, haben wir unsere Vorstellungen und Erkenntnisse über Endometriose ausführlich dargestellt.

Dieser Artikel bietet eine Übersicht über die Entstehung, Diagnostik und Therapie.

Dieser Beitrag beschreibt ein umfassendes Verständnis der Endometriose auf der Grundlage der Archimetrose-Hypothese

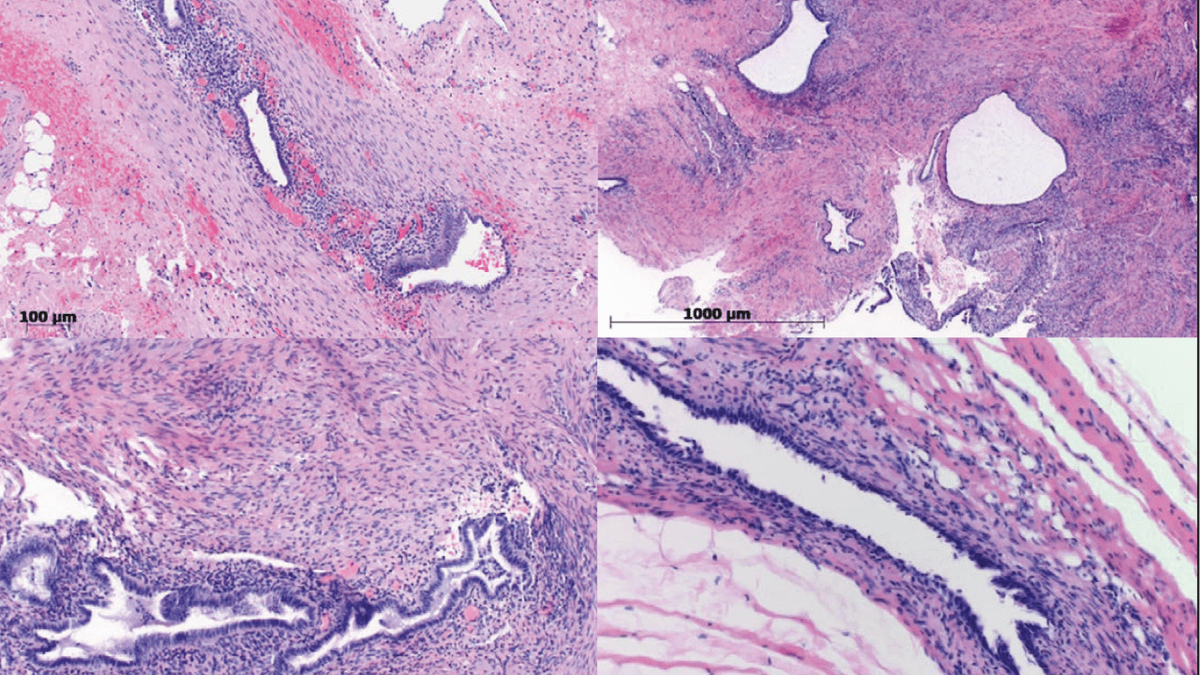
Verschiedene Erscheinungsformen der Endometriose lassen sich auch in der mikroskopischen Untersuchung des Gewebes erkennen.
©2025 - GynaeXcellence
Datenschutz



